Die Positronen-Emissions-Tomographie (PET) ist ein nuklearmedizinisches Untersuchungsverfahren, mit dem die Aufnahme einer leicht radioaktiven Substanz, die zuvor in die Vene gespritzt wurde, an bestimmten Stellen des Körpers oder in Organen in Form von Schnittbildern dargestellt werden kann. Durch die in den Bildern sichtbare Anreicherung der injizierten Substanz ist eine Aussage über bestimmte Stoffwechselfunktionen bzw. molekulare Prozesse von Geweben oder Organen möglich.
Speziell bei Verdacht auf oder nach dem Nachweis einer bestimmten Krebserkrankung ist die PET eine sehr gut geeignete Methode, um ohne wesentliche Körperbelastung Tumoren oder deren Absiedlungen (Metastasen) im Körper nachzuweisen. Die Strukturen, sowie die exakte anatomische Lage solcher Gewebeveränderungen lassen sich durch die PET allein allerdings nicht sicher definieren. Daher erfolgt die Überlagerung mit dem radiologischen Verfahren der Computertomographie (CT). Mittels der CT werden vom Körper ebenfalls Schnittbilder erstellt, mit denen die Struktur des Gewebes und der Organe (die Anatomie) sichtbar gemacht wird. Durch die Kombination von PET und CT in einem Gerät werden die Vorteile beider Aufnahmeverfahren genutzt, indem die Schnittbilder der beiden Verfahren derart überlagert werden, dass krankhafte Gewebeveränderungen in der PET in ihrer räumlichen Ausdehnung und exakten Lokalisation sichtbar werden. Das Verfahren PET-CT findet ebenfalls zur Abklärung neurologischer Krankheitsbilder (z. B. Demenz, Morbus Parkinson) und bestimmter Herzerkrankungen (Vitalitätsdiagnostik) Anwendung.
Die Stärke des PET-CT liegt vor allem bei onkologischen Fragestellungen.
- Unterscheidung von gutartigen und bösartigen Läsionen
- Suche nach einem unbekannten Tumor bei Vorliegen einer Metastase
- Bestimmung der Tumorausdehnung und seiner Metastasen
- Überprüfung des Therapieerfolgs bei Tumorerkrankungen
Bei etwa 75% der Fälle ändert sich das medizinische Vorgehen auf Grund der Ergebnisse des PET-CT. Das bedeutet, die Therapie kann gezielter und somit erfolgreicher durchgeführt werden und unnötige bzw. nicht sinnvolle Therapiemaßnahmen werden verhindert.
Allerdings sind nicht alle Tumoren und Organe für die Untersuchung im PET-CT gleichermaßen geeignet. Bei folgenden Tumorarten ist eine PET-CT derzeit sinnvoll:
- Lungenkrebs
- Brustkrebs
- Lymphknotenkrebs
- Speiseröhren-, Magenkrebs
- Bauchspeicheldrüsenkrebs
- Prostatakrebs
- Darmkrebs
- Hautkrebs
- Schilddrüsenkrebs
- Gehirntumore
- Karzinoid
- Tumoren aus dem Bereich Hals-Nasen-Ohren
Weitere wichtige Anwendungsgebiete des PET-CT bestehen in der Kardiologie (Infarktausdehnung) und Neurologie (M. Alzheimer).
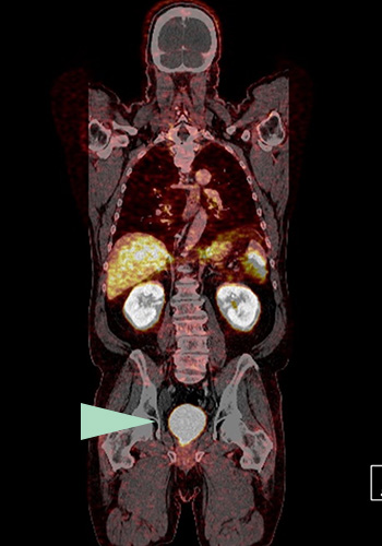
Prostatakrebs
Nachweis eines bisher unerkannten Tumorherdes (s. gelber Pfeil) durch das Fluor-18 PSMA PET-CT links hinter der Harnblase. Die Prostata war mehrere Jahre zuvor operativ entfernt worden. Ein PSA-Anstieg war der Anlass für die Durchführung des PET-CTs.
Neues
Präparat:
Fluor-18
PSMA
Bisheriges Präparat mit störender Radioaktivität in der Harnblase (Gallium-68 PSMA)
Mit dem F-18 PSMA PET-CT lassen sich kleine und kleinste Tumorherde und Absiedlungen des Prostatakarzinoms (Metastasen) in Lymphknoten und Organen nachweisen. Auch in der Prostata selbst oder in der Prostataloge wird Tumorgewebe sehr empfindlich detektiert.
Für Patienten gibt es folgende Indikationen:
1. Ausbreitungsdiagnostik insbesondere in der Hochrisiko-Situation
2. Verdacht auf wiederaufgetretenen Tumorherd in der Prostataloge/Becken, nach Operation oder Bestrahlung der Prostata (biochemisches Rezidiv)
3. Verlaufskontrolle unter/nach Hormon- oder Chemotherapie zur Bestimmung der Tumoraktivität
4. Vor geplanter Lutetium-177 PSMA Therapie (Radio-Liganden-Therapie) zum Nachweis, dass der Patient für die Behandlung geeignet ist.
Achten Sie darauf! Das neue PSMA-Präparat Fluor-18 PSMA hat folgende Vorteile:
Kleinste Tumorherde werden entdeckt (bessere Auflösung)
Tochtergeschwülste (Metastasen) im kleinen Becken und Tumore in der Prostataloge werden zuverlässig gefunden (da keine störende Anreicherung in der Harnblase erfolgt)
Fragen Sie Ihren Arzt oder sprechen uns an!
Standorte
JOHANNITER-KRANKENHAUS
Adresse:
PET-CT Zentrum, Johanniter Krankenhaus
1.UG, Fahrstuhl vorhanden
Johanniterstraße 3-5, 53113 Bonn
HÄUFIG GESTELLTE FRAGEN
Bitte kommen Sie am Untersuchungstag nüchtern zu uns.
Diabetiker melden sich bitte vorab unter der Telefonnummer 0228-91150-200, um die Einnahme ihrer Medikamente zu besprechen.
Bitte trinken Sie vor der Untersuchung mindestens einen halben Liter Wasser oder ungesüßten Tee.
Ihre Medikamente können Sie wie gewohnt einnehmen. Bitte bringen Sie eine Liste Ihrer Medikamente mit.
Bitte halten Sie Ihren Termin pünktlich ein, weil die radioaktiv markierte Substanz für jeden Patienten einzeln bestellt wird und nicht lagerfähig ist.
Bitte planen Sie insgesamt zwei bis drei Stunden ein.
Blutzucker: Die Blutzuckerkonzentration sollte zum Zeitpunkt der FDG-Injektion im Normbereich sein (< 130 mg / dl). Somit bitten wir um eine Nahrungskarenz ab 22:00 Uhr des Vortages! Vor der Untersuchung wird eine aktuelle Blutzuckermessung (kleiner Einstich an einer Fingerspitze) durchgeführt. Für die Untersuchung ist es erforderlich, dass Ihr Blutzuckerspiegel einen gewissen Wert nicht überschreitet.
Nach einem Gespräch mit der Sie betreuenden Ärztin oder dem betreuenden Arzt, bekommen Sie einen Zugang in eine Vene gelegt. Über diesen wird Ihnen, bei den meisten onkologischen Fragestellungen, eine nebenwirkungsfreie, radioaktiv markierte Zuckerlösung gespritzt. Bis zum Beginn der eigentlichen Untersuchung ist eine Ruhezeit von ca. 1 Stunde erforderlich. Die PET-CT-Untersuchung erfolgt in Rückenlage mit angehoben Armen. Für diese Zeit sollten Sie absolut ruhig liegen können. Zunächst wird die CT-Untersuchung durchgeführt, für die Sie, abhängig von der Fragestellung, ein zusätzliches, jodhaltiges Röntgenkontrastmittel über den Venenzugang bekommen. Die CT Untersuchung dauert nur wenige Sekunden. Im direkten Anschluss werden die PET-Aufnahmen angefertigt (ca. 20-40 Minuten) ohne weitere Gabe von Kontrastmitteln. Der gesamte Zeitbedarf liegt bei 2-3 Stunden.
Nach der Untersuchung Das radioaktive Tracermaterial wird im Körper entweder abgebaut oder ausgeschieden. Nach einer PET-CT-Untersuchung gibt es für Sie keine besonderen Einschränkungen.
Auch wenn aus medizinischer Sicht die PET-CT bei vielen Fragestellungen sinnvoll wäre, wird diese Untersuchungsmethode jedoch von den gesetzlichen Krankenkasse nur in bestimmten Fällen übernommen. In jedem Fall empfiehlt sich eine Einzelanfrage bei der jeweiligen Krankenkasse vor Durchführung der Untersuchung. Die nachfolgende Auflistung beinhaltet gesicherte und zugelassene Indikationen für PET/CT-Untersuchungen (gemäß Gundlage g-BA-Beschluss und QS-Vereinbarung KBV/GKV-SV)
* Bestimmung des Tumorstadiums von primären nichtkleinzelligen Lungenkarzinomen einschließlich der Detektion von Fernmetastasen.* Nachweis von Rezidiven (bei begründetem Verdacht) bei primären nichtkleinzelligen Lungenkarzinomen.
* Charakterisierung von Lungenrundherden, insbesondere Beurteilung der Dignität peripherer Lungenrundherde bei Patienten mit erhöhtem Operationsrisiko und wenn eine Diagnosestellung mittels einer invasiven Methodik nicht möglich ist.
* Bestimmung des Tumorstadiums von kleinzelligen Lungenkarzinomen einschließlich der Detektion von Fernmetastasen, es sei denn, dass vor der PET-Diagnostik ein kurativer Therapieansatz nicht mehr möglich erscheint.
* Nachweis eines Rezidivs (bei begründetem Verdacht) bei kleinzelligen Lungenkarzinomen, wenn die Patienten primär kurativ behandelt wurden und wenn durch andere bildgebende Verfahren ein lokales oder systemisches Rezidiv nicht gesichert oder nicht ausgeschlossen werden konnte.
* Staging-Untersuchungen beim Hodgkin-Lymphom bei Erwachsenen bei Ersterkrankung und bei rezidivierter Erkrankung. Ausgenommen hiervon ist der Einsatz der PET in der Routine-Nachsorge von Patientinnen und Patienten ohne begründeten Verdacht auf ein Rezidiv des Hodgkin-Lymphoms.
* Entscheidung über die Durchführung einer Neck Dissection bei Patienten mit fortgeschrittenen Kopf-Hals-Tumoren oder mit unbekannten Primärtumorsyndromen des Kopf-Hals-Bereichs.
* Entscheidung über die Durchführung einer laryngoskopischen Biopsie beim Larynxkarzinom, wenn nach Abschluss einer kurativ intendierten Therapie der begründete Verdacht auf eine persistierende Erkrankung oder ein Rezidiv besteht.
* Maligne Lymphome bei Kindern und Jugendlichen.
* Initiales Staging bei aggressiven Non-Hodgkin-Lymphomen.
Darüber hinaus existieren weitere PET/CT-Indikationen in der Onkologie (z. B.Neuroendokrine Tumore, Hirn-Tumore), deren klinischer Nutzen gesichert ist. Die privaten Krankenkassen übernehmen bei Vorliegen einer rechtfertigenden Indikation im Regelfall die Kostenerstattung. Für GKV-Patienten besteht im Übrigen die Möglichkeit, eine PET/CT-Untersuchung als Selbstzahler in Anspruch zu nehmen. Einen Kostenvoranschlag können wir Ihnen gerne vorab zusenden.
Die Strahlenexposition bei einer PET-Untersuchung entspricht etwa der natürlichen Strahlenexposition von zwei bis maximal 3 Jahren (bzw. einem einwöchigen Aufenthalt in den Alpen) und ist nach dem aktuellen Kenntnisstand als unbedenklich anzusehen.
Bitte weisen Sie in jedem Fall auf eine bestehende Schwangerschaft hin! Wir werden im Einzelfall mit Ihnen besprechen, ob eine Untersuchung möglich ist.
Alle radioaktiven Nuklide, die sich für die PET eignen, sind Positronen-Emitter, die sehr kurze Halbwertszeiten besitzen. Sie werden künstlich in einem Zyklotron-Beschleuniger durch Ionen mit hoher Bewegungsenergie (5 - 20 MeV) erzeugt und anschließend in einem Chemiemodul in organische Verbindungen eingebettet. Das nutzbare Nuklid zerfällt nach kurzer Zeit wieder, in der Hauptsache durch einen Beta+-Zerfall unter Aussendung eines Positrons und eines Neutrinos. Das Positron wiederum wird in der Materie innerhalb einer kurzen Pfadlänge (0,9 - 3,3 mm) bis auf thermische Energien abgebremst und vereint sich dann mit seinem Antiteilchen, einem normalen Elektron, zu einem Positronium-Atom. Dieses Gebilde löscht sich selber innerhalb sehr kurzer Zeit aus (1-10 s) und überträgt dabei seine Ruheenergie von 2 × 511 KeV auf zwei Gammaquanten die ihren Entstehungsort um 180 Grad gegeneinander versetzt verlassen. Diese beiden Gammaquanten entstehen also gleichzeitig und bewegen sich auf einer Linie genau entgegengesetzt. Dies sind die beiden Eigenschaften, die in einem PET-Scanner genutzt werden, um das Ereignis und den Ort des Ereignisses zu bestimmen. Aufgrund der relativ langen Halbwertzeit von 110 Minuten ist Fluor-18 das PET-Nuklid mit der größten praktischen Bedeutung. Dieses Nuklid wird chemisch in verschiedene Tracer eingebettet, z. B. in ein Zuckermolekül wie Deoxyglucose, das von Zellen des Körpers zur Energiegewinnung verstoffwechselt wird. Kranke Gewebe (z. B. Entzündungen und Tumoren) unterscheiden sich durch stärkere Nutzung des Tracers, häufig erheblich von einem normalen Gewebe. Das Prinzip der PET-Diagnostik beruht auf der bildlichen Darstellung dieses Unterschieds und seiner klinischen Wertung.