Das Wort „Mammographie“ setzt sich zusammen aus “Mamma” als medizinischer Fachausdruck für die Brust und “graphie” für das bildgebende Verfahren. Die konventionelle oder digitale Mammographie ist ein lange bewährtes Verfahren, um auch sehr kleine Veränderungen des Brustgewebes frühzeitig erkennen zu können und kann somit die Heilungschancen verbessern.
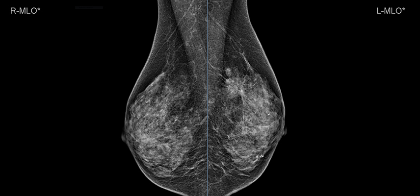
Sie bildet neben der Sonographie, die Basis der radiologischen Brustdiagnostik. Bei der Mammographie wird die Brust mittels Röntgenstrahlung dargestellt. Normalerweise werden je Brust zwei Aufnahmen aus unterschiedlichen Winkeln angefertigt.
Alle Mammographie Untersuchungen werden in unserer Praxis grundsätzlich von zwei Fachärzten beurteilt. Ein besonderer Einsatz der Mammographie erfolgt im Rahmen des deutschlandweiten Mammographie-Screenings für Frauen in einem bestimmten Alter.
Wann ist eine Mammographie indiziert?
Mit steigendem Alter nimmt das Brustkrebs-Risiko zu. Die Mammographie wird zum einen als sogenannte kurative Mammographie durchgeführt, wenn sich ein weiter abklärungsbedürftiger (Tast-)Befund innerhalb der Brust (Verdacht auf Brustkrebs) oder krankhaft vergrößerte und veränderte Lymphknoten in der Achselhöhle ergeben. Zusätzlich kann sie zur Abklärung von Symptomen in der Brust eingesetzt werden (z. B. Schmerzen) oder im Rahmen der Nachsorge, wenn bereits ein Brustkrebs aufgetreten war und behandelt wurde. Sie kann zum ersten Mal um das 35. Lebensjahr als Basisuntersuchung erfolgen.
Zum anderen wird die Mammographie bei einer familiären Vorbelastung zur Früherkennung eingesetzt und im so genannten Mammographie-Screening zur Früherkennung des Brustkrebses in einer bestimmten Altersgruppe. Die Mammographie im Rahmen des Screenings erfolgt auf spezielle Einladung in einer Screeningeinheit zwischen dem 50. und 70. Lebensjahr im Zweijahresintervall. Unsere Praxis ist Mitglied im Mammographie Screening Bonn Rhein-Sieg Euskirchen.
Standorte
KAISERSPLATZ / MARTINSPLATZ
Adresse:
in der Kaiser-Passage
1.OG, Fahrstuhl vorhanden
Kaiserplatz 18, 53113 Bonn
HÄUFIG GESTELLTE FRAGEN
Während der ganzen Untersuchung werden Sie von unseren speziell geschulten, sehr einfühlsamen und aufmerksamen Mitarbeiterinnen begleitet. Am Anfang werden Sie gebeten in einer der Umkleidekabinen den Oberkörper freizumachen. Die Aufnahmen der Brust werden in einem eigenen Mammographiegerät angefertigt.
Da die Aufnahmezeit für Aufnahmen der Brust sehr kurz ist, ist es notwendig die Brust zur Vermeidung einer Bewegungsunschärfe zu fixieren. Dabei wird die Brust in einer speziellen Halterung zwischen zwei „Platten“ komprimiert. Dieses Komprimieren oder „Zusammendrücken“ der Brust ist der unangenehmste Teil der Untersuchung. Allerdings ist dies jedoch zwingend notwendig, um eine scharfe, überlagerungsfreie Darstellung der Brust zu erhalten und um eine geringe Strahlendosis zu erreichen.
Normalerweise werden von jeder Seite zwei Aufnahmen angefertigt, um eventuell vorhandene krankhafte Prozesse in zwei Ebenen darzustellen und innerhalb der Brust lokalisieren zu können. Bei einigen Befunden müssen zusätzliche Aufnahmen erfolgen, um eine auffällige Veränderung deutlicher darzustellen (z. B. Vergrößerungsaufnahmen bei sehr kleinen Befunden).
Bitte am Tag der Untersuchung im Achsel- und Brustbereich keine Cremes, Deos oder Puder verwenden. In diesen Körperpflegemittel sind zuweilen mikroskopisch kleine Metallteile, die auf der Röntgenaufnahme störende Bildveränderungen verursachen können.
Nach Möglichkeit sollte die Untersuchung in der ersten Hälfte des Menstruationszyklus durchgeführt werden, da die Brust dann etwas weicher und weniger angespannt ist. Hierdurch erleben viele Frauen die notwendige Kompression der Brust als weniger unangenehm. Darüber hinaus ist für die konventionelle Mammographie keine spezielle Vorbereitung notwendig.
Die Mammographie verwendet Röntgenstrahlung zur Bilderzeugung und ist somit mit einer gewissen Strahlenbelastung verbunden. Mit der Einführung der digitalen Mammographie konnte eine Reduktion der Strahlendosis um bis zu 40% erreicht werden. Zusätzlich verwenden wir Geräte der neuesten Bauart, welche die Strahlenbelastung weiter reduziert haben.
Die effektive Dosis im Brustgewebe (für beide Brüste) beträgt etwa 0,2 – 0,4 Millisievert (mSV). Zum Vergleich liegt die natürlichen Strahlenbelastung bei einer effektiven Dosis von 2,1 mSV/Jahr. Bei der Bewertung der Strahlenbelastung ist allerdings immer das Risiko zu berücksichtigen, dass bei einem Verzicht auf die Untersuchung eine Krebserkrankung zu spät erkannt werden könnte.
Je nach Befund wird Ihre Radiologin oder Ihr Radiologe mit Ihnen besprechen, welches weitere Vorgehen am sinnvollsten ist. Dies kann aus einer Kontrolluntersuchung, einer weiterführenden Untersuchung (MRT der Mamma, Tomosynthese) oder der Entnahme einer Gewebeprobe (Biopsie/Stanze) bestehen.
Sollten Sie diesbezüglich einen bestimmten Wunsch haben, teilen Sie uns dies bitte mit, wenn Sie den Termin vereinbaren. Wir bemühen uns diesen zu berücksichtigen.