Radiologisches Gutachten, MRT (Magnetresonanztomographie) | Interventionelle Radiologie | Praxis für Radiologie & Nuklearmedizin

Ihr Körper
im Zentrum

Telefon: 0228 / 91150-0 Email: praxis[at]radiologie-nuklearmedizin-bonn [dot] de Sprechzeiten: Mo - Fr, 8:00 - 17:45 Uhr

WIE KÖNNEN WIR IHNEN HELFEN?

Kopf
Kopfschmerzen, Schwindel oder Wahrnehmungsstörungen - für viele Fragestellungen ist eine Bildgebung des Kopfes wichtig.
Schilddrüse
Die Schilddrüse steuert zahlreiche Stoffwechselprozesse, aber auch zentrale Organfunktionen.
Brust
Nicht jeder Tastbefund in der Brust ist ein bösartig. Zur Klärung bieten wir das gesamte Spektrum moderner Diagnostik.
Abdomen
Der Bauchraum umfasst mehr als nur den Darm, die Leber oder andere Organe, sondern auch Gefäße und Lymphknoten.
Muskeln & Knochen
Für alle Aktivitäten von A wie „Aufstehen“ bis zu Z wie „Zähne putzen“ brauchen wir unsere Muskeln, Gelenke und Knochen.
Radiologische Diagnostik, Ultraschalluntersuchungen | Radiologischer Befundbericht | Praxis für Radiologie & Nuklearmedizin
Wirbelsäule
Die Wirbelsäule ist das zentrale Element für einen aufrechten Gang und für eine unbeschwerte Beweglichkeit.
Thorax
Ein freies und unbeschwertes Atmen ist ein Grundbedürfnis und bedarf des Zusammenspiels von Brustkorb, Lunge, Rippen, Herz und Gefäßen.
Prostata
Ab dem 50. Lebensjahr treten bei fast jedem zweiten Mann Veränderungen der Prostata oder auch Vorsteherdrüse auf.
Onkologische Bildgebung
Das gesamte Spektrum der bildgebenden Verfahren bei Krebserkrankungen, von der ersten Diagnostik bis zu Kontrolluntersuchungen nach überwundener Krebserkrankung.
MRT (Magnetresonanztomographie), CT (Computertomographie) | Interventionelle Radiologie | Praxis für Radiologie & Nuklearmedizin

Kopf

Schädel, Gehirn, Augenhöhlen, Nasennebenhöhlen, Kiefergelenke, Innenohr, Hypophyse

In vielerlei Hinsicht ist der Kopf der zentrale Teil unseres Körpers und trägt wesentlich zu unserem Wohlbefinden bei. Die meisten Menschen kennen Kopfschmerzen oder Schwindel und wissen wie beeinträchtigend diese sein können. Auch das Sehen, Atmen und Riechen sind essentielle Grundelemente unseres Lebens. Wir kennen die Sorgen der Betroffenen und Ihrer Angehörigen, wenn die Gedächtnisleistung nicht mehr im gewohnten Umfang funktioniert, die Frage nach einem Schlaganfall oder gar einem Tumor im Raum steht. Für viele Fragestellungen ist eine Bildgebung des Kopfes ein fester Bestandteil der Abklärung.

Neben dem Gehirn besteht der Kopf aber auch aus den knöchernen Strukturen (inklusive Nasennebenhöhlen, Mandibulargelenke, Innenohren, etc.), den Weichteilen, den Muskeln und den Augen. Unsere Praxis bietet verschiedene Untersuchungsmethoden zur morphologischen Darstellung an. Für viele Fragestellungen ist die Magnetresonanztomographie (MRT) die Bildgebung der Wahl. Die Liste der Indikationen ist lang und umfasst z. B. die Frage nach Tumoren im Gehirn, die Abklärung von Schwindel, Gedächtnisproblemen, Kopfschmerzen, der Mandibulargelenke und vieles mehr. Auch die Computertomographie (CT) hat ihren Stellenwert, insbesondere bei der Beurteilung der Nasennebenhöhlen oder der knöchernen Strukturen. Falls es Gründe geben sollte, welche eine MRT Untersuchung verhindern, ist eine CT ebenfalls eine gute Alternative. Hingegen kommen Röntgenuntersuchungen des Kopfes nur noch sehr selten zum Einsatz. Bei der funktionellen Untersuchung des Gehirns, welche bei Krankheiten wie Parkinson durchgeführt wird, bietet die Nuklearmedizin diverse Möglichkeiten, wie z. B. einen DAT-Scan.

Für besondere Fragestellungen haben wir eine(n) erfahrene(n) Neuroradiologin und Neuroradiologen im Ärzteteam, welche zur Abklärung des Befundes hinzugezogen werden können.

Behandlungen

  • Magnetresonanz-
    tomographie (MRT)
  • Computer-
    tomographie (CT)
  • Konventionelles Röntgen
  • Nuklearmedizin
Ärztin tastet die Schilddrüse einer Patientin ab
Tc-99m MIBI im Vergleich zu Pertechnetat Tc-99m
SPECT-CT Schildrüse

Schilddrüse

Die Hauptaufgabe der Schilddrüse die Bildung der lebenswichtigen, jodhaltigen Schilddrüsenhormone Trijodthyronin (T3) und Thyroxin (T4) sowie des Hormons Calcitonin. Die Hormone spielen im gesamten Körper für viele Prozesse einen wichtige Rolle, wie z. B. beim Energiestoffwechsel oder für die Knochensubstanz. Klassische Erkrankungen der Schilddrüse umfassen eine Unter- (Hypo-) oder Überfunktion (Hyperthyreose). Dies bedeutet, dass entweder zu wenige oder zu viele der Schilddrüsenhormone produziert werden. Ferner finden sich häufig Entzündungen bzw. Autoimmunerkrankungen der Drüse, sowie gutartige und bösartige Knotenbildungen, welche abklärt werden müssen. Auch spezielle Fragestellungen wie Schilddrüsenerkrankungen bei Kindern u. Jugendlichen, Schilddrüse und Schwangerschaft/Stillzeit und Nebenschilddrüsen-Diagnostik werden in unserer Spezialambulanz untersucht.

Wie funktioniert die Schilddrüse?

Die Schilddrüse auch Glandula thyroidea genannt, produziert die Schilddrüsenhormone Trijodthyronin (T3) und L-Thyroxin (T4). Ob die Schilddrüse viel oder wenig Schilddrüsenhormone ausschüttet, hängt von einem weiteren Hormon ab, dem Thyreoidea stimulierenden Hormon (TSH), das in der Hirnanhangsdrüse des Gehirns gebildet wird. In Abhängigkeit von der Ausschüttung des Hormons TSH in der Hirnanhangsdrüse produziert die Schilddrüse vermehrt die beiden Botenstoffe T3 und T4. Die ins Blut abgegebenen Schilddrüsenhormone bewirken wiederum eine Hemmung der TSH-Ausschüttung der Hirnanhangsdrüse. Es existiert somit ein Regelmechanismus, bei dem das Gehirn der Schilddrüse „mitteilt“: „Ich brauche mehr, bzw. ich brauche weniger Hormone“. So sorgt der Körper dafür, dass stets eine, den individuellen Bedürfnissen entsprechende Hormonmenge im Körper verfügbar ist.

Die Schilddrüsenhormone liegen im Blut in freier Form (freies T3/T4) und zusätzlich an ein Transportprotein gebunden vor. Die biologisch aktive Form stellt das freie T3, in das drei Jod-Atome eingebaut wurden, dar. Das Hormon 'freies T4' wird in den verschiedenen Körpergeweben durch ein spezielles Enzym (sogenannte Deiodase) in 'freies T3' umgewandelt. T3 (Trijodthyronin) beeinflusst in verschiedenen Organen und Zelltypen den Stoffwechsel und die Organfunktionen. So werden nicht nur der Zucker-, Fett- und Eiweißstoffwechsel verändert, sondern auch Organfunktionen wie der Herzschlag, die Verdauung, das Wachstum, die Fortpflanzungsfähigkeit, der Knochenstoffwechsel, die Funktionsfähigkeit des Gehirns und des Nervensystems werden entscheidend beeinträchtigt. Die Schilddrüse wird hierbei oft als das Gaspedal des Körpers beschrieben. Für die richtige Regelung des Pedals sorgt der o.g. Rückkoppelungsmechanismus.

Welche Beschwerden kann die Schilddrüse verursachen?

Die Schilddrüse liegt vor der Luftröhre und in der Nähe der Speiseröhre und der Halsgefäße, was bei einer Vergrößerung des Organs (Struma) zu Beschwerden wie Kloß- oder Engegefühl, Räusperzwang, Schluckbeschwerden oder sogar Atemnot führen kann.

Beschwerden wie Herzrasen, Schwitzen, Hitzegefühl, Gewichtsabnahme, Durchfall, Zittern der Hände oder Schlafstörungen können durch eine Schilddrüsenüberfunktion (Hyperthyreose) verursacht sein. Das Gaspedal im Körper ist buchstäblich 'auf Vollgas' gestellt. Auch der Fett- und Glukosestoffwechsel kann beeinträchtigt sein, so dass z.B. bei Diabetikern eine schwierige Einstellung des Blutzuckerspiegels mit erhöhten Blutzuckerwerten entstehen kann.

Bei Vorliegen einer Schilddrüsenunterfunktion (Hypothyreose) fällt der Organismus in eine Art „Winterschlaf“. Beschwerden, wie Kälteempfindlichkeit, Gewichtszunahme, langsamer Herzschlag, Depression, Kälteempfindlichkeit, Müdigkeit und Konzentrationsstörungen können auftreten. Eine Erhöhung der Cholesterinwertes sowie ein veränderter Blutzuckerspiegel sind ebenfalls möglich.

Bei ausbleibendem Kinderwunsch kann sowohl eine Über- wie Unterfunktion die Ursache sein.

Leistungen

  • Anamnese
  • Blutuntersuchung in unserem praxiseigenen Speziallabor (TSH, fT3, fT4, Anti-TPO, Anti-TG, TRAK, hTG, Calcitonin u.a.)
  • Testverfahren, wie hTG-Stimulationstest nach rTSH Gabe, Calcitonin-Belastungstest, etc.
  • Sonographie
  • Probeentnahme aus der Schilddrüse (Feinnadelpunktion/-biopsie)
  • Szintigraphie (Technetium-Szintigraphie, Suppressions- Szintigraphie, MIBI-Szintigraphie inkl. SPECT-CT, Jod-123--Szintigraphie, Somatostatin-Rezeptor-Szintigraphie)
  • PET-CT mit F-18 FDG, F-18 Cholin und Ga-68 Dotatoc
  • Alle radiologischen Verfahren (MRT, CT, Röntgen)

Behandlungen

  • Medikamentöse Therapie
  • Radiojod-Therapie (in Kooperation mit der nuklearmedizinischen Therapiestation)
  • Radiofrequenz-Ablation (RFA) von Schilddrüsen-Knoten
  • Operation (innerhalb der Kooperation mit dem Johanniter-Krankenhaus)
Nuklearmedizin, MRT (Magnetresonanztomographie) | Röntgenaufnahmen | Praxis für Radiologie & Nuklearmedizin

Brust

Nicht jeder Tastbefund in der Brust ist ein bösartiger Knoten. Allerdings kennen wir die Sorgen und Ängste, welche in Zusammenhang mit einem unklaren Befund aufkommen. Darum ist bereits seit vielen Jahren ein Schwerpunkt unserer Praxis das gesamte Spektrum der modernen Diagnostik der Brust (Mamma) inklusive der Biopsie von auffälligen Befunden, um für Sie die beste Versorgung sicher stellen zu können. Dazu zählt auch eine enge Kooperation mit den niedergelassenen Gynäkologinnen und Gynäkologen bzw. den Brustzentren der Region. Die Gemeinschaftspraxis ist Kooperationspartner des Brustzentrums des Johanniter-Krankenhauses in Bonn.

Wie hoch ist das Risiko für Brustkrebs?

Brustkrebs (Mammakarzinom) ist die häufigste Krebserkrankung bei Frauen und für ca. 30 Prozent aller Krebsfälle bei Frauen in Deutschland verantwortlich. Statistisch erkrankt in Deutschland eine von acht Frauen im Laufe ihres Lebens an Brustkrebs. Über 70.000 Mal im Jahr wird aktuell bei einer Frau ein Brustkrebs (oder eine Vorstufe) diagnostiziert, über 17.000 Frauen sterben jährlich daran. Das Risiko einer Erkrankung steigt mit zunehmendem Alter an. Dies bedeutet, dass jüngere Frauen (bis ca. 40 Jahren) nur selten betroffen sind. Erst ab dem 40. und besonders ab dem 50. Lebensjahr erhöht sich das Risiko für Brustkrebs und fällt dann nach etwa dem 70. Lebensjahr wieder ab. Das mittlere Erkrankungsalter für Brustkrebs liegt bei ca. 64 Jahren, wobei jede vierte Betroffene jünger als 55 Jahre und jede Zehnte jünger als 45 Jahre alt ist. Auch Männer können einen Brustkrebs entwickeln. Dieser kommt jedoch sehr selten vor und betrifft nur etwa 1 Prozent aller diagnostizierten Brustkrebsfälle.

Wie gefährlich ist Brustkrebs?

Brustkrebs ist zwar die häufigste Krebsart bei Frauen, allerdings ist sie nicht die gefährlichste. Dies bedeutet, dass eine rechtzeitige Erkennung und Behandlung der Erkrankung oft zu einer Heilung führen kann. Dies spiegelt sich auch darin wider, dass die Sterberate seit Jahrzehnten kontinuierlich rückläufig ist. Aktuell sterben noch über 17.000 Frauen jährlich an Brustkrebs, aber rund 87 Prozent aller Frauen mit Brustkrebs-Diagnose sind nach 5 Jahren noch am Leben. Diese positive Entwicklung hat zum einen mit der verbesserten Früherkennung zu tun, weswegen Tumoren schon in einem frühen, noch gut behandelbaren Stadium erkannt werden. Zur Früherkennung tragen auch die innovativen und schonenden, radiologischen Verfahren wie z. B. die Mammographie bei. Mit ihr lässt sich Brustkrebs in sehr frühen Entwicklungsstadien (Vorstufen) feststellen. Auf dieser Basis ist in vielen Fällen eine erfolgreiche Behandlung und Heilung möglich. Moderne Technik ist eine Voraussetzung für eine erfolgreiche Brustdiagnostik. Entscheidender ist aber noch die fachärztliche Kompetenz, denn nur Spezialistinnen und Spezialisten mit langjähriger Erfahrung können die Bilder und Untersuchungsergebnisse richtig interpretieren und im Zusammenspiel verschiedener Verfahren und deren Bewertung eine zuverlässige Diagnose erstellen. Zum anderen hat zur Reduktion der Sterbefälle an Brustkrebs auch der kontinuierliche Fortschritt in der Therapie beigetragen. Operative, strahlentherapeutische und medikamentöse Therapiekonzepte sind heute viel gezielter, individueller und oft weniger belastend als früher. Auch die interdisziplinäre Betreuung der Patientinnen und Patienten in zertifizierten Brustzentren ist heutzutage als Standard bei der Behandlung anzusehen.

Vorbelastung für Brustkrebs

Etwa 30% aller Frauen mit Brust- oder Eierstockkrebs kommen aus Familien, in denen Angehörige bereits an diesen Krebsarten erkrankt sind. Diese sogenannte familiäre Belastung kann ein Hinweis darauf sein, dass es eine erbliche Veranlagung für diese Krebserkrankungen gibt. Unten stehend finden Sie die Kriterien, wann eine genetische Beratung empfohlen wird. Weitere Informationen erhalten Sie von Ihrer Gynäkologin oder Ihrem Gynäkologen. Sie finden auch über das Zentrum Familiärer Brust- und Eierstockkrebs der Uniklinik Köln ein umfangreiches Beratungsangebot. Bei Frauen, die ein erhöhtes Risiko für Brustkrebs haben, können auch schon in jungen Jahren regelmäßige Untersuchungen auf Brustkrebs oder eine intensivierte Früherkennung sinnvoll sein.

Informationen des Deutschen Konsortiums Familiärer Brust- und Eierstockkrebs bzw. der Arbeitsgemeinschaft Gynäkologische Onkologie e.V.: Eine genetische Testung sollte erfolgen bei:

  • drei an Brustkrebs erkrankten Frauen unabhängig vom Alter
  • zwei an Brustkrebs erkrankten Frauen, von denen eine im Alter unter 50 Jahren (vor dem 51. Geburtstag) erkrankt ist
  • einer an Brust- und einer an Eierstockkrebs erkrankten Frau
  • einer an Brust- und Eierstockkrebs erkrankten Frau
  • zwei an Eierstockkrebs erkrankten Frauen
  • einer an beidseitigem Brustkrebs erkrankten Frau mit einem Ersterkrankungsalter vor dem 51. Geburtstag
  • einer an Brustkrebs erkrankten Frau vor dem 36. Geburtstag
  • einem an Brustkrebs erkrankten Mann und mindestens einem / einer weiteren Erkrankten an Brust- oder Eierstockkrebs

Behandlungen

  • Mammographie
  • Sonographie
  • MRT der Brustdrüse
  • Computer-
    tomographie (CT)
  • Biopsie der Brustdrüse
  • Markierung des
    Wächter-Lymphknotens
Strahlentherapie, MRT (Magnetresonanztomographie) | Interventionelle Radiologie | Praxis für Radiologie & Nuklearmedizin

Abdomen

Leber, Nieren + Harn-ableitende Wege, Bauchspeicheldrüse (Pankreas), Gallenwege, Nebennieren, Darm, Gefäße

Der Bauchraum (Abdomen) umfasst mehr als nur den Darm, sondern beinhaltet diverse weitere Organe, wie etwa die Leber, die Bauchspeicheldrüse (Pankreas), die Gallenwege, die Milz, die Nieren mit den ableitenden Harnwegen bis in die Blase und auch die Nebennieren. Zusätzlich beinhaltet der Bauch zahllose Gefäße und Lymphknoten. Genauso breit ist auch das Spektrum der Krankheiten, welche sich im Bauchraum finden lassen. Dies reicht von einfachen, gutartigen Befunden, welche manchmal reine Zufallsbefunde sind, über funktionelle Beschwerden (teils ohne pathologischen Befund im Bild) bis zu schwerwiegenden Erkrankungen. Wir stimmen die Untersuchungen ganz auf Sie und Ihre klinische Fragestellung ab.

Bei Fragen im Bauchraum sind die beiden Schnittbildverfahren, die Magnetresonanztomographie (MRT) und die Computertomographie (CT), oft die Untersuchungsmethoden der Wahl. Allerdings kann auch eine Sonographie oder, bei bestimmten Fragestellungen auch eine nuklearmedizinische Untersuchung einen Beitrag zur Lösungsfindung Ihrer Beschwerden bringen. Bei uns in der Praxis finden Sie das gesamte Spektrum dieser Untersuchungsmethoden.

Behandlungen

  • Magnetresonanz-
    tomographie (MRT)
  • Computer-
    tomographie (CT)
  • Sonographie
  • Nuklearmedizin
Ultraschalluntersuchungen, Strahlentherapie | Radiologischer Befundbericht | Praxis für Radiologie & Nuklearmedizin

Muskeln & Knochen

Gelenke (Knie, Hüfte, Ellenbogen, Sprunggelenk/OSG, Handgelenk, etc.), Knochen, Muskeln, Sportmedizin

Von A wie „Aufstehen“ bis zu Z wie „Zähne putzen“ brauchen wir für alle alltäglichen Aktivitäten unsere Muskeln, Gelenke und Knochen. Neben diesen einfachen Tätigkeiten, welche wir oft nicht beachten, solange diese ohne Probleme auszuführen sind, ist unser Körper auch zu erstaunlichen Höchstleistungen in der Lage. Hierzu zählt für die Einzelne oder den Einzelnen nicht nur Leistungssport, sondern beispielsweise auch bereits eine Wanderung im Siebengebirge. Jeder kennt es, dass auch bereits kleinere Verletzungen unser wohl aufeinander abgestimmtes Körpersystem aus dem Gleichgewicht bringen und unsere gewohnten Tätigkeiten einschränken können. Wenn sich hieraus eine verschleppte oder chronische Verletzung entwickelt, kann dies im schlimmsten Fall eine sportliche Leidenschaft beenden oder den Alltag grundlegend einschränken. Somit versuchen wir, mit unserem spezialisierten Wissen in der Bildgebung des sogenannten muskuloskelettalen Apparates Ihnen frühzeitig zu helfen und Ihrem Problem auf den Grund zu gehen.

Die Ursachen von Schmerzen im Bewegungsapparat sind so vielseitig wie die anatomischen Strukturen, welche als Schmerzursache in Frage kommen. Neben der Muskulatur und den Knochen, können alle Arten der Gelenke, Sehnen, Bänder, Knorpel, Nerven, etc. Ausgangspunkte für Probleme Ihres Bewegungsapparates sein. Typische Ursachen für Probleme können beispielsweise Überlastungsreaktion, akute oder chronische Verletzungen, Folgeerscheinungen von Verletzungen, Entzündungen, Beteiligung von Erkrankungen des gesamten Körpers, Ablagerungen (Verkalkungen, etc.), aber auch Tumoren sein. Die Liste wäre noch beliebig erweiterbar. So vielseitig die Ursachen sind, so vielseitig kann auch ihre Behandlung sein. Vor einer Behandlung kommt aber die Diagnostik, welche oftmals eine gute Ergänzung zum klinischen Befund Ihrer Zuweiserin oder Ihres Zuweisers ist. Auch wenn wir nicht immer die spezifische Ursache Ihrer Beschwerden darstellen können, können wir mit der Bildgebung einen wertvollen Beitrag zur Eingrenzung der Differentialdiagnosen liefern. Wir bieten Ihnen in der Gemeinschaftspraxis das gesamte Spektrum der modernen Radiologie und Nuklearmedizin des Bewegungsapparates an. Dies reicht von einem einfachen Röntgenbild, über die Knochendichtemessung und die Computertomographie bis zur Magnetresonanztomographie. Auch nuklearmedizinische Untersuchungen wie die Szintigraphie haben ihren Stellenwert in der Abklärung von Beschwerden und werden von uns angeboten. Unser Spektrum umfasst auch therapeutische Maßnahmen wie die CT-gesteuerte Schmerztherapie am Rücken oder eine Radiosynoviorthese (RSO) bei chronischen, entzündlichen Gelenkbeschwerden.

Neben persönlichen Zertifizierungen unserer Ärztinnen und Ärzte auf dem Gebiet der muskuloskelettalen Bildgebung und diesbezüglichen, routinemäßigen Weiterbildungen, ist unsere Praxis als Zentrum für Muskuloskelettale Radiologie der Deutschen Röntgengesellschaft zertifiziert.

Behandlungen

  • Konventionelles Röntgen
  • Magnetresonanz-
    tomographie (MRT)
  • Computer-
    tomographie (CT)
  • Szintigraphie
  • PET-CT
  • Schmerztherapie
MRT (Magnetresonanztomographie), Ultraschalluntersuchungen | Interventionelle Radiologie | Praxis für Radiologie & Nuklearmedizin

Wirbelsäule

Halswirbelsäule (HWS), Brustwirbelsäule (BWS), Lendenwirbelsäule (LWS)

Die Wirbelsäule ist das zentrale Element für einen aufrechten Gang und für eine unbeschwerte Beweglichkeit. Leider kennen jedoch die meisten Menschen Schmerzen im Rücken und wissen, wie beeinträchtigend diese sein können. Über 60% der Erwachsenen in Deutschland geben an, in den letzten 12 Monaten Rückenschmerzen gehabt zu haben und ca. 15% berichten von chronischen Rückenschmerzen. Am häufigsten ist der untere Rücken bzw. der Nackenbereich betroffen. Frauen leiden häufiger an Rückenschmerzen als Männer, ebenso ältere Personen.

Unsere typische Lebensweise mit mangelnder Bewegung, der Tendenz zum Übergewicht und viele Tätigkeiten im Sitzen tragen zu Schmerzen im Rücken bei. Die Ursachen der Schmerzen können ganz unterschiedlich sein und es muss nicht immer etwas „Schlimmes“ dahinter stecken. Verspannungen und Muskelbeschwerden sind sehr häufig mittels konservativer Therapie (Physiotherapie, Schmerztherapie, etc.) in den Griff zu bekommen. Halten die Beschwerden jedoch an oder kommt es zu Problemen mit dem Fühlen (Sensibilität) und/oder der Kraft der Muskeln, ist eine Bildgebung des Rückens sinnvoll, um zum Beispiel einen Bandscheibenvorfall auszuschließen. Neben den Wirbelkörpern, dem Knochenmark, den Bandscheiben, den kleineren Gelenken zwischen den Wirbelkörpern und den verbindenden Bandstrukturen können auch die Nerven und die Muskulatur gut dargestellt werden. Somit können auch Erkrankungen des Nervenstrangs untersucht werden oder entzündliche Veränderungen der Wirbelsäule.

Eine häufige Basisuntersuchung ist ein Röntgenbild der Wirbelsäule. Ein deutlich detailreicheres Untersuchungsverfahren und für viele Fragestellungen die Bildgebungsmethode der Wahl ist die Magnetresonanztomographie (MRT). Sollte der Fokus auf den knöchernen Strukturen liegen oder gibt es Gründe, welche verhindern sollten, dass ein MRT durchgeführt wird, bietet sich eine Computertomographie (CT) als Alternative an. Für ausgewählte Fragestellungen sind auch nuklearmedizinische Untersuchungsverfahren, wie eine Szintigraphie oder ein PET-CT sinnvoll.

Behandlungen

  • Konventionelles Röntgen
  • Magnetresonanz-
    tomographie (MRT)
  • Computer-
    tomographie (CT)
  • Szintigraphie
  • PET-CT
Ultraschalluntersuchungen, MRT (Magnetresonanztomographie) | Strahlenexposition | Praxis für Radiologie & Nuklearmedizin

Thorax

Brustkorb, Lunge, Rippen, Herz, Gefäße

Ein freies und unbeschwertes Atmen ist ein Grundbedürfnis unseres Lebens. Falls es zu einer Einschränkung kommen sollte, kann dies viele Gründe haben und die Radiologie kann hier einen Beitrag zu Diagnosefindung leisten. Von einer Lungenentzündung bis zu chronischen Umbauprozessen des Lungengerüstes kann es ein breites Spektrum an akuten und chronischen Erkrankungen der Lunge geben. Neben einer Einschränkung des unbeschwerten Atmens sind auch eine verminderte Belastungsfähigkeit oder Schmerzen im Brustkorb, häufige Symptome und sollten ernst genommen werden. Nicht nur Veränderungen der Lunge können die Ursache sein, sondern es können sich dahinter auch Probleme mit dem Herzen, den Gefäßen oder den Rippen verstecken. Auch manche krankhafte Veränderung im Oberbauch oder an der Brustwirbelsäule kann ursächlich für Ihre Beschwerden sein. In unserer Praxis bieten wir Ihnen ein umfangreiches diagnostisches Spektrum zur Abklärung des Thorax (Brustkorb). Ein erster diagnostischer Schritt ist oft ein konventionelles Röntgenbild.

Einen deutlich umfangreicheren und besseren Einblick erlaubt jedoch die Computertomographie, welche dank neuester Technik, mit einer reduzierten Strahlenbelastung auskommt. Daneben lassen sich auch gezielt das Herz und die Gefäße darstellen. Dies erfolgt entweder mit Hilfe der Computertomographie oder teils mit nuklearmedizinischen Methoden bzw. mit dem MRT. Welche die am besten geeignete Untersuchungsmethode zur Abklärung Ihrer Beschwerden und der vermuteten Ursache ist, entscheidet Ihre Radiologin oder Ihr Radiologe mit Ihnen zusammen.

Behandlungen

  • Magnetresonanz-
    tomographie (MRT)
  • Computer-
    tomographie (CT)
  • Röntgen
  • Nuklearmedizin
  • Szintigraphie
MRT (Magnetresonanztomographie), Radiologische Diagnostik | Interventionelle Radiologie | Praxis für Radiologie & Nuklearmedizin
Radiologische Diagnostik, Strahlentherapie | Radiologischer Befund | Praxis für Radiologie & Nuklearmedizin

Prostata

Vorsteherdrüse

Die Prostata oder Vorsteherdrüse liegt beim Mann unterhalb der Harnblase und umschließt dort ringförmig den Anfangsteil der Harnröhre (Uretra) bis zum Beckenboden. An die Rückseite der Prostata grenzt der Enddarm (Rektum). Ab dem 50. Lebensjahr treten bei fast jedem zweiten Mann Veränderungen der Prostata auf. Am häufigsten kommt es zu einer gutartigen Vergrößerung der Prostata, einer sogenannten benignen Prostatahyperplasie. Diese hat ihren Ausgangspunkt in dem Teil der Prostata, welcher direkt der Harnröhre anliegt. Dadurch kann es zu einer Einengung der Harnröhre kommen, was einen schwächer werdenden Harnstrahl und einen häufigeren Harndrang bedingt. Neben gutartigen Veränderungen der Prostata kann es aber auch zu einem Prostatakrebs (Prostatakarzinom) kommen. Ein Prostatakarzinom entsteht in der Mehrzahl der Fälle in der äußeren Zone, welche nicht unmittelbar der Harnröhre anliegt. Da ein Prostatakarzinom meistens sehr lange keine Beschwerden verursacht, wird es oft nicht frühzeitig gefunden. Allerdings gilt: Je früher es festgestellt wird, desto besser sind die Chancen für eine vollständige Heilung.

Prostatakrebs ist mit ca. 23 % die häufigste Krebserkrankung von Männern in Deutschland und jährlich werden über 60.000 neue Prostatakrebsfälle diagnostiziert. Prostatakrebs vor dem 50. Lebensjahr ist selten und die meisten Neuerkrankungen treten ab ca. dem 70. Lebensjahr auf.  Zwar tritt Prostatakrebs häufig auf, aber er ist nicht die am häufigsten zum Tode führende Krebserkrankung. Hier steht der Lungenkrebs weiterhin an erster Stelle. Ungefähr 9 von 10 Männern mit diagnostiziertem Prostatakrebs sterben nicht an diesem Krebs, sondern an einer anderen Ursache. Viele Männer wissen auch nichts von ihrer Erkrankung. Warum ein Prostatakarzinom entsteht ist auch heute noch weitgehend unbekannt. Man kennt allerdings bestimmte Faktoren, die das Risiko einer Prostatakrebserkrankung erhöhen. Neben dem Alter gibt es auch eine familiäre Veranlagung und es spielen Umwelteinflüsse, wie beispielsweise die Ernährung, Lebens- und möglicherweise auch Arbeitsbedingungen eine Rolle.

Männer ab 45 Jahren können einmal jährlich die kostenlosen Leistungen des gesetzlichen Früherkennungsprogramms in Anspruch nehmen, welche neben einem Gespräch, der Untersuchung der Geschlechtsorgane und der Lymphknoten in der Leiste, sowie das Abtasten der Prostata vom Enddarm aus umfasst. Mit dieser Untersuchung können jedoch nur oberflächlich gelegene und größere Karzinome gefunden werden. Die Bestimmung des prostataspezifische Antigen, kurz PSA, im Blut ist nicht Bestandteil des gesetzlichen Früherkennungsprogrammes. PSA wird in der Prostata produziert, ist aber nicht spezifisch für Prostatakrebs. Je höher der Wert, umso wahrscheinlicher ist zwar, dass ein Tumor vorhanden ist, allerdings gibt es diverse, gutartige Faktoren, welche den PSA Wert erhöhen können (z. B. Prostataentzündungen, gutartige Veränderungen, Druck auf die Prostata, etc.). Umgekehrt bedeutet dies leider auch, dass ein normaler PSA-Wert keine Garantie dafür ist, dass kein Krebs vorliegt.

Die Gemeinschaftspraxis bietet ein breites Spektrum von radiologischen und nuklearmedizinischen Untersuchungsverfahren an, welche von der Detektion eines Prostatakarzinoms (multiparametrische Magentresonanztomographie), über die Ausbreitungsdiagnostik bei einem diagnostizierten Prostatakarzinom (Computertomographie, Magnetresonanztomographie, Röntgen) bis zur Ausbreitungs- und Rezidivdiagnostik mittels Knochenszintigraphie und PSMA-PET-CT reichen. Auch bei Schmerzen durch ein in die Knochen metastasiertes, fortgeschrittenes Prostatakarzinom können wir Ihnen mittels Schmerztherapie helfen.

Behandlungen

  • Konventionelles Röntgen
  • Magnetresonanz-
    tomographie (MRT)
  • Computer-
    tomographie (CT)
  • Szintigraphie
  • PET-CT
  • Schmerztherapie
Bildgebende Verfahren, MRT (Magnetresonanztomographie) | Strahlenexposition | Praxis für Radiologie & Nuklearmedizin

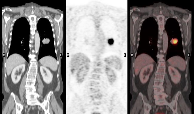
Onkologische Bildgebung

Alle bösartigen Erkrankungen (Krebs)

Die Onkologie ist das Fach in der Medizin, welches sich mit der Diagnostik und der Therapie von Krebserkrankungen beschäftigt. In der Radiologie und Nuklearmedizin befasst sich die onkologische Bildgebung mit dem gesamten Spektrum der bildgebenden Verfahren bei Krebserkrankungen, von der ersten Diagnostik bis zu Kontrolluntersuchungen nach überwundener Krebserkrankung.

Über 230.000 Menschen sterben in Deutschland im Schnitt pro Jahr an einer Krebserkrankung. Die häufigsten Todesursachen unter den Krebserkrankungen sind bei Frauen Brustkrebs/Mamma-Karzinom (17 Prozent aller krebsbedingten Sterbefälle), gefolgt von Lungenkrebs (16 Prozent) und Darmkrebs (10 Prozent). Bei Männern ist hingegen Lungenkrebs für 22 Prozent der Krebssterbefälle verantwortlich, gefolgt von Prostatakrebs (12 Prozent) und Darmkrebs (10 Prozent). Schaut man sich die Entwicklung im längeren Verlauf an, sind seit 2010 die altersstandardisierten Sterberaten an Krebs bei den Frauen um 7 Prozent und bei den Männern um 12 Prozent zurückgegangen.

Trotzdem gehören Krebserkrankungen immer noch zu den Krankheiten, welche bei den meisten Patientinnen und Patienten große Ängste und Unsicherheiten hervorrufen, welche aber aufgrund des Fortschritts in der Medizin nicht mehr zwangsläufig die Lebenszeit verkürzen. Hierzu trägt auch die moderne Radiologie und Nuklearmedizin mit den verbesserten Methoden zur (Früh-)Erkennung und Verlaufsbeurteilung von Krebserkrankungen bei. Wir bieten Ihnen als Gemeinschaftspraxis das gesamte Spektrum der onkologischen Bildgebung in der Radiologie und Nuklearmedizin vom Röntgenbild bis zum PET-CT an.

Bildgebende Verfahren, Strahlentherapie | Röntgenaufnahmen | Praxis für Radiologie & Nuklearmedizin

Wir sind in der regionalen und überregionalen Versorgung von onkologischen Patientinnen und Patienten ein verlässlicher Partner für die niedergelassenen Ärztinnen und Ärzte aber auch für die Krankenhäuser der Region. Nur im Miteinander können wir für Sie die bestmögliche Vorsorge, Früherkennung, Diagnostik, Überwachung der Therapie und der Kontrolle nach einer überstandenen Krebserkrankung erreichen. Deshalb ist die Gemeinschaftspraxis Partner im Onkologischen Zentrum Bonn/Rhein-Sieg des Johanniter-Krankenhauses in Bonn und Mitglied im Lungenkrebszentrum Bonn/Rhein-Sieg, im Kompetenznetz Schilddrüse Bonn-Rhein-Sieg und im Integrativen Darmzentrum Bonn/Rhein-Sieg.

Behandlungen

  • Röntgen
  • Mammographie
  • Sonographie
  • Magnetresonanz-
    tomographie (MRT)
  • Computer-
    tomographie (CT)
  • Biopsie bestimmter
    Organregionen
  • Szintigraphie
  • PET-CT
  • Schmerztherapie bei
    bestimmten onkologischen
    Erkrankungen

IHR TERMIN

Zu unseren Praxiszeiten können Sie gerne Termine telefonisch vereinbaren. Terminanfragen per Mail können wir aktuell leider nicht berücksichtigen.

JETZT ANRUFEN

Sie benötigen einen schnellen Termin, den Sie unkompliziert und direkt buchen können? Genau dafür steht Ihnen unsere Online-Terminvergabe zur Verfügung - rund um die Uhr, immer aktuell.

ZUR ONLINE TERMINVERGABE

Sollten Sie einen bereits vereinbarten Termin nicht wahrnehmen können, nutzen Sie zur Stornierung bitte das Formular.

TERMIN STORNIEREN
» Erfahren Sie mehr
Medizinischer Mitarbeiter der Gemeinschaftspraxis für Radiologie und Nuklearmedizin in der Kaiser-Passage, Bonn bereitet eine Patientin auf die Computertomographie vor.
Sie benötigen einen schnellen Termin, den Sie unkompliziert und direkt buchen können? Genau dafür steht Ihnen unsere Online-Terminvergabe zur Verfügung - rund um die Uhr, immer aktuell. Zu unseren Praxiszeiten können Sie natürlich auch Termine telefonisch vereinbaren. Terminanfragen per Mail können wir aktuell leider nicht berücksichtigen. Sollten Sie einen bereits vereinbarten Termin nicht wahrnehmen können, nutzen Sie zur Stornierung bitte das Formular.